エッヂ 歯
エッヂ
エッヂ 歯医者多過ぎるけど選ぶ基準どうしてる?
嫌儲 アメリカで歯を削らない治療が実現したらしい。未だに銀歯だらけの日本人…😭
なんG 歯科医師「口を開けてくださいね~」→そのまま女性患者におちんちんをくわえさせて逮捕
エッヂ 【衝撃逮捕】女子大生「お母さん私チンポ舐めたかも」歯科器具のフリをしてチンポを口に挿れた歯医者を逮捕
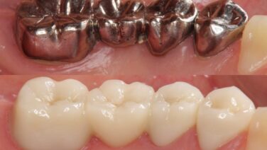
エッヂ 100年前歯医者「虫歯は削って銀歯」 現代歯医者「虫歯は削って銀歯」
エッヂ 歯医者に来たんやがマスクしてないのワイだけなんやが
VIP 歯医者行ってきた男の子www
VIP いい歯医者を見つけることが困難過ぎる件について
嫌儲 歯医者さん「助けて!銀高騰で銀歯治療すればするほど赤字になるの!(´;ω;`)」
VIP 歯列矯正3年目の俺(40)が質問に答えよう
エッヂ ワイ、15年ぶりに「歯医者」に行った結果www
エッヂ 歯医者「虫歯酷いですねえ」口開けてるワイ(すまんな)歯医者「放置し過ぎですよ」ワイ(ええんやで)
エッヂ 1ヶ月以上前ワイ「歯が痛いから歯医者いくで」歯医者「削るね」
嫌儲 歯医者「インプラント(50万)とブリッジ(1万)どっちにする?」
エッヂ 歯医者「フロスしてますかー?」ワイ「…はい」歯医者「そうですかー」
エッヂ ロキソニン「頭痛治ります。虫歯治ります。腰痛治ります」←こいつの欠点www
VIP 歯医者行くと看護師可愛すぎて勃起しそうになるよな
エッヂ ワイ重度虫歯部エース、虫歯が重症化しとうとう蓄膿症発症
嫌儲 5年ぶりぐらいに歯医者行ってくる
エッヂ 歯医者「デンタルフロス毎日やれっつってんだろ!!!」←これ
嫌儲 猟友会に、一般市民からのクレーム殺到。『檻を使うのは止めろ』『歯や爪がダメになったら自然に放してもその後生きていけない』
なんG ワイ「毎日時間かけて歯磨いてます。舌磨きもして舌苔を落としてます」←なのに口が臭い理由
エッヂ 歯医者「フロスやってますか?👹」ワイ「はい…一応…🥺」歯医者「…👹」
VIP 虫歯がキツすぎて自殺を考えてるレベルなんだが
嫌儲 歯医者行って歯石とって貰ったんだけど歯の隙間がスカスカになった…
嫌儲 【画像】笑顔を忘れた歯がボロボロの女の子、歯医者でセラミックにしてもらい笑顔を取り戻す😁
嫌儲 オナホを歯ブラシ立てに使った男、女からボロクソに叩かれる。
なんG 堅あげポテト、歯ぐきが血だらけになる事しか欠点がない
なんG 