
- 1 : 2025/06/19(木) 19:25:09.43 ID:Ttnq5aq50
-
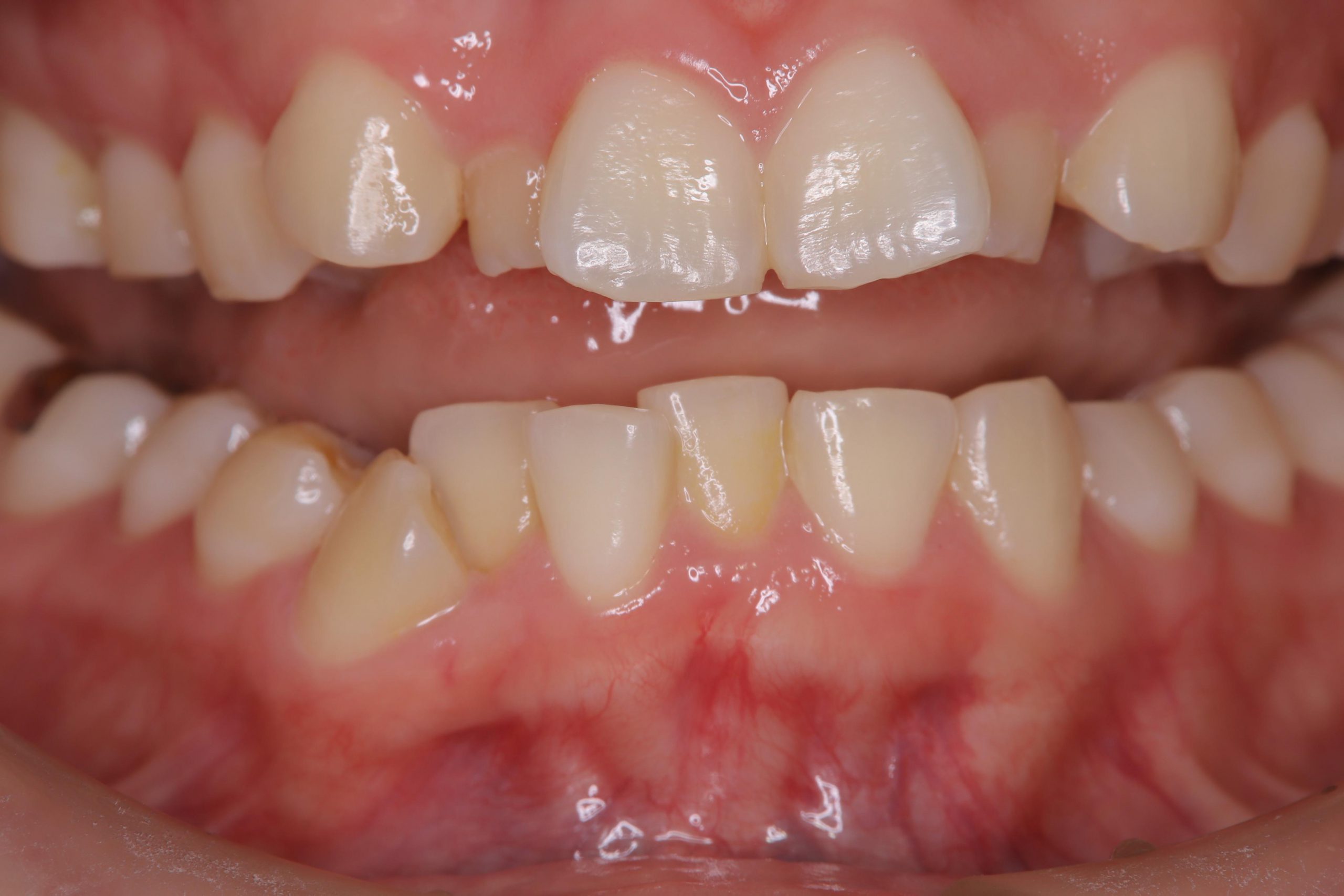
歯って重要なのにガチャ外れたら取り返しつかないとかやばいだろ
6月4日の虫歯予防デーにちなみ「歯と口の健康」学ぶイベント 青森市
https://news.yahoo.co.jp/articles/8a10dc1e61a13eab3d9562d0078e4bdb0824c8f7
- 2 : 2025/06/19(木) 19:25:39.61 ID:74IkloTY0
-
これ教えろ
自家歯牙移植したい - 11 : 2025/06/19(木) 19:28:29.92 ID:IU1al0D40
-
>>2
近所の色んな歯医者へ行ってみろ - 3 : 2025/06/19(木) 19:25:51.74 ID:Bd5om0p30
-
ニートで何年も行ってなくて口からうんこの臭いするから行くの怖い👈
- 4 : 2025/06/19(木) 19:26:13.38 ID:W9d2Cl6M0
-
おぱーいが大きい
- 25 : 2025/06/19(木) 19:30:42.98 ID:B/dulBBq0
-
>>4
ビジュやおぱーいで選ぶと大外れ引くぞ - 7 : 2025/06/19(木) 19:26:58.70 ID:ZbY2xNDT0
-
新しく出来たところ
- 8 : 2025/06/19(木) 19:27:11.50 ID:mrjW4Fo50
-
素直に混んでるところにした方がいいよ
- 9 : 2025/06/19(木) 19:27:29.53 ID:HNta9ibB0
-
CTみたいな全周レントゲン取ってくれるとこに行け
設備は最新がいいに決まってる - 10 : 2025/06/19(木) 19:27:35.19 ID:VexIYnV10
-
マジでムズい。腕いいヤツはすぐキレてくる
- 12 : 2025/06/19(木) 19:28:36.00 ID:v+0b3ASF0
-
同級生の親
- 13 : 2025/06/19(木) 19:28:36.70 ID:W9d2Cl6M0
-
中からほぐしてくれる
- 14 : 2025/06/19(木) 19:28:47.02 ID:KCJQknLG0
-
顕微鏡診とラバーダムやってるとこはガチ
ラバーダムの有無なんて簡単に見分けられるんだから下調べくらいしろ - 15 : 2025/06/19(木) 19:29:17.39 ID:j3Xj1ek00
-
ラバーダムしてくれなかったときの絶望感は異常
- 16 : 2025/06/19(木) 19:29:19.87 ID:dvSEDDHq0
-
旧帝大卒の歯科医ならほぼ間違いないぞ
間違っても私立大卒のところには行くなよ - 35 : 2025/06/19(木) 19:34:38.62 ID:NmlfxVpw0
-
>>16
ほんこれ - 39 : 2025/06/19(木) 19:36:32.38 ID:xod4Q37y0
-
>>16
経歴どうやって調べるんだ - 17 : 2025/06/19(木) 19:29:29.77 ID:0CWzzNxb0
-
学会にしょっちゅう行ってない医者は腕がいい
- 19 : 2025/06/19(木) 19:29:36.04 ID:7R3mAwom0
-
歯科衛生士さんのケツ触って怒らなかったら当たり
- 22 : 2025/06/19(木) 19:30:14.79 ID:geDhroMq0
-
ゴミみたいな歯科医ばかり
- 23 : 2025/06/19(木) 19:30:27.14 ID:aoY2Ig7gM
-
お前らって友達とかいないの?
おれ友達の兄のとこ通ってるわ
表参道面倒だけど - 24 : 2025/06/19(木) 19:30:37.00 ID:ZI2V/2uc0
-
最新機器で若い先生
vs
ちょい古そうだけどベテランの先生
- 26 : 2025/06/19(木) 19:31:01.63 ID:N2DWwQrV0
-
おぱーい
- 30 : 2025/06/19(木) 19:33:26.29 ID:l6dpjLOm0
-
経験上だが新しい綺麗が一番良いと思う
なおかつ保険治療もやっている - 32 : 2025/06/19(木) 19:33:56.23 ID:6vYUtjdb0
-
嫌儲で国立大卒にしろってゆわれた
- 33 : 2025/06/19(木) 19:34:09.98 ID:NmlfxVpw0
-
国立の歯学部出身
- 34 : 2025/06/19(木) 19:34:18.43 ID:tcRBb/oD0
-
歯医者はメンテのためにいくとこやからな
歯科助手の腕のが重要
問題起こってからいくとこちゃう - 36 : 2025/06/19(木) 19:35:07.22 ID:td0GN8CN0
-
治療中の歯がかなり痛いって言ってんのに助手の糞ま●こが歯石取りでその歯ごりごり始めた時は本気でブチ切れたな
- 37 : 2025/06/19(木) 19:35:41.43 ID:ZLmKeBTq0
-
独立してる人で学歴で判断すれば良い
- 38 : 2025/06/19(木) 19:36:27.93 ID:7R3mAwom0
-
歯科医でHPに学歴掲載してるやつって国立しか見たことないんだが
- 40 : 2025/06/19(木) 19:36:49.72 ID:CHO8GBTV0
-
目立たないところにあるのに潰れてない
- 41 : 2025/06/19(木) 19:36:53.46 ID:QF4lB5Ve0
-
新しいところに行く
- 42 : 2025/06/19(木) 19:37:09.38 ID:XkkcYyJI0
-
保険治療でも金がかかるところめちゃくちゃかかるし
早い安いのところもあるしな - 43 : 2025/06/19(木) 19:37:23.93 ID:xEKZrndB0
-
歯医者は新しい方が設備も治療法も最新に近いから新しいとこかな。
- 44 : 2025/06/19(木) 19:37:44.45 ID:Oim25oTu0
-
医者より設備で選べば(´・ω・`)
- 45 : 2025/06/19(木) 19:37:49.94 ID:VZcmVpBT0
-
すべて神経抜かれた
- 46 : 2025/06/19(木) 19:39:20.39 ID:NA+2YLtp0
-
何度も何度も通わせるクソ歯医者は思い切って切ったほうが良いぞ
- 47 : 2025/06/19(木) 19:39:23.86 ID:W3ZGfJil0
-
歯医者「歯が痛い?まずは歯石除去からな。上下左右1回ずつしかできないから最低4回通院してから虫歯の治療な:
俺は治療をあきらめた
- 48 : 2025/06/19(木) 19:39:43.69 ID:pj2vX0t80
-
いいとこは混んでて予約取りづらいから、近所のおじいちゃんがやってるとこでいいよ
- 49 : 2025/06/19(木) 19:40:22.42 ID:Y46ll4+x0
-
今のところはラバーダムは使ってくれるけど技術的にはそれほどでもなくてすごくグイグイしてくる、治療自体は特に問題は無く上々
前のところはラバーダムは使わなかったけど治療がすごく丁寧でしかも滅茶苦茶器用だった、歯科助手無しで吸引とか全てを同時にやってた - 50 : 2025/06/19(木) 19:41:15.18 ID:EsXCpwhxd
-
毎年虫歯検査受けてて最後受けて間もないのに出先で初診検査受けたら奥歯歯間がc2まで進んでて被せだ言われてショックなんだが、こんなん防ぎようないよな
- 51 : 2025/06/19(木) 19:41:15.33 ID:G8zmRj8h0
-
ラバーダムを保険適用でやってくれるところ
- 52 : 2025/06/19(木) 19:41:25.12 ID:NvNCnkMc0
-
保険診療の範囲内だとかなり難しいな
むしろハズレを引かないことを意識したらどうだ?
そっちのほうがまだ可能だと思うわ - 53 : 2025/06/19(木) 19:41:46.99 ID:dnxmV8mG0
-
新しくできて綺麗なところ選んだら大失敗した
- 54 : 2025/06/19(木) 19:42:13.73 ID:fBk2roIVr
-
通ってる歯医者は何がなんでも歯を抜きたい派だから怖い
- 55 : 2025/06/19(木) 19:42:20.61 ID:+KE34M7i0
-
サイトがやたら華美とかのは地雷臭だが美容整形よりって話だろ
- 56 : 2025/06/19(木) 19:43:23.45 ID:v05eFxdc0
-
歯科医は技術職の面がかなりあるから学歴で判断するのも危険。ひたすら何件も回って自分が納得できるところを探すしかないな。レビューはアタオカが逆恨みで書いてる場合もあるからそこまで気にしないほうがいい
- 57 : 2025/06/19(木) 19:43:31.26 ID:SYETZLmn0
-
検診もちゃんと医者がやってくれるとこってあるの?
最近どこ行っても削ったりするときしか医者登場しないとこばっかだわ - 58 : 2025/06/19(木) 19:43:34.04 ID:vRlTHVLQ0
-
治療中に衛生士のオマ●コ見せてて欲しいわ
- 59 : 2025/06/19(木) 19:43:44.01 ID:G+rsQNpo0
-
Googleマップレビューに従ったらSSR引いた
- 60 : 2025/06/19(木) 19:44:00.80 ID:tLYbFTrH0
-
従姉妹の旦那がSSRなんだけど通うには遠い
でも近場の歯医者がどこもヘタクソか守銭奴みたいなとこばっかりだから手間はトレードオフでお世話になってる
身内贔屓もあるだろうけど凄く誠実
(若くてかわいい歯科衛生士がおぱーい当ててくれるとかは残念ながらない) - 61 : 2025/06/19(木) 19:45:03.84 ID:dGm7uHua0
-
新しくできたとこ
- 63 : 2025/06/19(木) 19:45:21.45 ID:elWGysL30
-
雑に抜こうとせず保存的治療を意識
旧帝大 - 64 : 2025/06/19(木) 19:45:40.97 ID:gqNkCe320
-
銀の被せものホント嫌だわ
保険適用で白にできないのかな
実費でやるかプチ整形する人の気持ちが最近わかった
めちゃくちゃコンプレックスになる - 65 : 2025/06/19(木) 19:45:53.40 ID:V/E2ZFgN0
-
即でバキバキに抜きたがる歯医者(全てが乱暴)
ウチは抜かないで治すんですよ~な歯医者(ニコニコしてばっか)どっちがいいのか
- 68 : 2025/06/19(木) 19:47:21.86 ID:elWGysL30
-
>>65
抜歯なんていつでも出来るから後者 - 66 : 2025/06/19(木) 19:46:08.19 ID:aYQIq3GZ0
-
女子大生のバイトに銀歯の最後の仕上げしてもらったけど勃起した
- 67 : 2025/06/19(木) 19:46:57.88 ID:SL3AcJ8X0
-
子供が多いとこは痛くないって嫌儲で聞いた
- 76 : 2025/06/19(木) 19:52:22.28 ID:dbrxh8/Y0
-
>>67
嘘つけそれ信じて行った歯医者の治療、無茶苦茶痛かったぞ - 69 : 2025/06/19(木) 19:48:10.01 ID:qGa6lpaU0
-
ラバーゴム使うとこ
- 71 : 2025/06/19(木) 19:48:43.76 ID:V/E2ZFgN0
-
数年前に別の歯医者で被せた下が痛いんスけど…
↓
うわぁこれほ酷いねwww膿んでるよww何やねん…
- 72 : 2025/06/19(木) 19:49:11.33 ID:VQbN4+Hz0
-
定期クリーニング勧めてくるとこはクソだと思う
- 73 : 2025/06/19(木) 19:49:26.67 ID:CVIWzAqU0
-
素手で治療してくる歯医者の魅力
- 74 : 2025/06/19(木) 19:50:50.76 ID:Lw3Ii7j10
-
元歯科技工士だから悪い歯医者はすぐ分かるわ
- 75 : 2025/06/19(木) 19:50:59.65 ID:OA46+k0R0
-
クリーニングうぜえよな・・強制予約
3000円はとられるんだが・・
じじい一人がのんびりやってる所のが神なのではって思うよ - 77 : 2025/06/19(木) 19:52:37.56 ID:a2Y1ysk80
-
定期クリーニングは歯医者が金儲けしたいためだけ
予防歯科って言葉に騙されるな
歯が痛くなった時に歯医者には行けばいいそれがコスパ良い - 79 : 2025/06/19(木) 19:53:50.02 ID:00UBX7b90
-
医科歯科大か東北大歯学部卒
- 80 : 2025/06/19(木) 19:54:57.93 ID:3Qv1vNS80
-
良い歯医者は技工士に聞くのが良い
- 81 : 2025/06/19(木) 19:58:47.60 ID:6B96BmTo0
-
駅前にある歯医者はとりあえずハズレだからやめとけ
- 88 : 2025/06/19(木) 20:01:18.48 ID:gMFmUIju0
-
>>81
点数商売だから数をこなすか保健外治療でしか賃料以上を稼げないしな - 83 : 2025/06/19(木) 19:59:08.83 ID:q8Bt8tGi0
-
新しいとこか若い者がいるところにしろ歯医者の技術は日進月歩や
間違えてジジイの歯医者に行ったら拷問が待ってる - 84 : 2025/06/19(木) 19:59:22.89 ID:L93NALSX0
-
歯って重要なのに ←わかってるならちゃんと自分のケアをしっかりしとけよ
- 85 : 2025/06/19(木) 20:00:05.87 ID:tMwJzXES0
-
もう3年ぐらい行ってないがかかりつけのおっさん歯医者は旧帝卒だわ
そろそろ引退する云々言ってたから行かないとヤバい気がしてるけど面倒で予約してない - 86 : 2025/06/19(木) 20:00:13.09 ID:jEBtSIlh0
-
とにかく削るタイプはクズ
多少歪でも自分の歯を残しといてくれ - 87 : 2025/06/19(木) 20:00:52.82 ID:FtjSGFHh0
-
歯石掃除500円のとこ
- 89 : 2025/06/19(木) 20:03:11.59 ID:ZvObWqI50
-
自費診療メインでやってるところに行け
保険の時点でガチャ外す率クソ高くなる - 90 : 2025/06/19(木) 20:03:19.15 ID:z+eykUYe0
-
まず眼鏡をかけた視力の低い歯科医は止めとけ
歯は小さいので細かいところをしっかり目視できる
視力を持っていることが最低条件だ - 91 : 2025/06/19(木) 20:03:51.76 ID:jEBtSIlh0
-
グーグルマップ信用できなくなってきたしな
- 92 : 2025/06/19(木) 20:03:54.60 ID:rpgvs4e60
-
すぐインプラント入れろって言ってこない歯医者
謎の審美物品をレジ横で販売していない歯医者
矯正も専門でやってる歯医者
- 93 : 2025/06/19(木) 20:04:15.50 ID:FFzkOnHr0
-
日大松戸(笑)での〇〇さーん、お元気?ww
- 94 : 2025/06/19(木) 20:06:18.93 ID:oVksqXhc0
-
保険治療でもマイクロスコープ使ってるとこ。
- 95 : 2025/06/19(木) 20:06:55.39 ID:p7EWQsnp0
-
優しい歯医者さんじゃないと通うのやめたくなる



コメント