
- 1 : 2025/05/22(木) 20:57:46.93 ID:YIOjx8tI0
-
こいつらってなんで高飛車なん?
- 2 : 2025/05/22(木) 20:58:20.20 ID:obdDvHz80
-
いや、歯磨けよ
- 5 : 2025/05/22(木) 20:59:00.53 ID:YIOjx8tI0
-
>>2
床屋行く前に態々髪洗うか? - 8 : 2025/05/22(木) 21:00:14.28 ID:Ohq82DBG0
-
>>5
普通は洗う - 14 : 2025/05/22(木) 21:01:29.43 ID:kNW4s71J0
-
>>5
至近距離で接客されるから風呂に入ってから床屋と美容室にいくぞ
歯医者も風呂入ってからいく - 16 : 2025/05/22(木) 21:02:13.78 ID:YIOjx8tI0
-
>>14
金払うのに相手に気使う負け犬で草 - 22 : 2025/05/22(木) 21:05:51.09 ID:kNW4s71J0
-
>>16
人として当たり前の気づかいですよ
金を払う立場でも人に不快な思いさせなくないですから - 3 : 2025/05/22(木) 20:58:38.42 ID:YIOjx8tI0
-
床屋だって洗髪してくれるんだからお前らも歯磨きしろやカス
- 4 : 2025/05/22(木) 20:58:52.57 ID:UvfwTDYE0
-
歯医者ってほんまそうよな 頼まれる存在だから驕ってるんだろうけど
- 6 : 2025/05/22(木) 20:59:40.41 ID:YIOjx8tI0
-
>>4
コンビニ以上に店舗あるしいくらでも変えられるのにな
横柄すぎる - 7 : 2025/05/22(木) 21:00:00.27 ID:xnlQIABY0
-
歯医者の洗面台にリステリンとか置いてないか?
- 12 : 2025/05/22(木) 21:01:17.17 ID:YIOjx8tI0
-
>>7
控え室にか?あっても使わんけど - 9 : 2025/05/22(木) 21:00:20.62 ID:l5ZLjDnO0
-
歯医者「あー、今日唾液の検査するから歯磨いて来ないでって言ってたんだけど…まぁいいよ」
ワイが悪いんやけどトラウマになってる
- 13 : 2025/05/22(木) 21:01:19.27 ID:UvfwTDYE0
-
>>9
あるよな 人の気持ち考えない態度してる - 15 : 2025/05/22(木) 21:01:35.35 ID:YIOjx8tI0
-
>>9
そんなんあるんか
わいは言われなそうやな - 10 : 2025/05/22(木) 21:01:02.69 ID:iUojDB5I0
-
鼻で息してもらえる?
- 11 : 2025/05/22(木) 21:01:10.44 ID:3E2bg1Vx0
-
イッチが悪い
- 17 : 2025/05/22(木) 21:02:47.97 ID:UmO0kMLh0
-
ちょっと苦しそうな姿見せるワイ「…」ング…ング…
歯医者「苦しいですかー?もう今日やめときますー?」
なんだこいつ
- 18 : 2025/05/22(木) 21:03:16.46 ID:nF/sucbL0
-
医者と一緒に歯磨きの練習してる?
- 20 : 2025/05/22(木) 21:05:11.27 ID:YIOjx8tI0
-
>>18
よく見るけどそれ言われたことないわ
あと乳当ててくる女もおらん - 19 : 2025/05/22(木) 21:03:29.43 ID:SjuizQR90
-
非常識なんだね
- 21 : 2025/05/22(木) 21:05:38.73 ID:YIOjx8tI0
-
>>19
常識とはその人が今まで培ってきた非常識である - 23 : 2025/05/22(木) 21:07:00.76 ID:jEAZTqguH
-
医者の落ちこぼれ
- 24 : 2025/05/22(木) 21:07:48.74 ID:UvfwTDYE0
-
思い返すとマジでイラつくわあの歯医者4ね
- 25 : 2025/05/22(木) 21:08:09.95 ID:rglXODzA0
-
ワイの通ってる歯医者は手洗いに「感染防止のために歯磨きはご遠慮ください」と書いてあるわ
ワイは家で歯磨いてから受診するから別にいいっちゃいいけどそろそろ解禁してもいいとは思う - 28 : 2025/05/22(木) 21:08:54.68 ID:YIOjx8tI0
-
>>25
手洗いで歯磨きするやつおるんやな
ワイの歯医者じゃ見たことないわ - 26 : 2025/05/22(木) 21:08:17.17 ID:Zo7LFPbv0
-
むしろワイの行ってる歯医者は腕はいいけど心配になる程何も喋らない
淡々と事務対応で治療だけしていく - 27 : 2025/05/22(木) 21:08:54.17 ID:UvfwTDYE0
-
>>26ええやん こっちはいちいち嫌味言ってくるで
- 29 : 2025/05/22(木) 21:08:59.82 ID:T541MK850
-
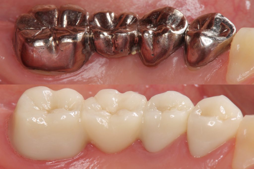
セラミックだのなんだのばっかり勧めてきて高い治療しようとする所もあるよな
- 30 : 2025/05/22(木) 21:10:10.68 ID:HwPyENCg0
-
歯科助手さんが治療前に歯磨いてくれるよね
ワイのところだけか - 33 : 2025/05/22(木) 21:13:32.25 ID:YIOjx8tI0
-
>>30
してもらいたいわ
物語シリーズ曰く性的興奮あるんやろ? - 31 : 2025/05/22(木) 21:12:01.84 ID:v3BFoWlR0
-
風俗も体を綺麗にして身なりを整えて行くとサービスが違いますからね
- 32 : 2025/05/22(木) 21:12:50.02 ID:T541MK850
-
何にも言わん所はそれはそれでどんな治療なのか言わないとインフォームドコンセントに反すると思うんやけど
ほんま歯医者てなんであんな感じなんや - 34 : 2025/05/22(木) 21:14:03.27 ID:tj85Sr6J0
-
ワイは磨いていくけど普通に朝磨いてれば言われなさそうだけどな
- 35 : 2025/05/22(木) 21:14:52.70 ID:UvfwTDYE0
-
歯医者全員56すか
- 36 : 2025/05/22(木) 21:18:40.18 ID:cl2liI8Yd
-
前の奴がキャンセルしたらしく歯なんか磨かなくていいからすぐ来てと言われた
- 37 : 2025/05/22(木) 21:19:08.99 ID:X52fxvMCd
-
小学生でも磨いてくるやろ
- 38 : 2025/05/22(木) 21:21:41.79 ID:BsVarnHQ0
-
自由診療の歯医者いけ
お金の大学の人も
あれだけケチクサライフを勧めてるのに
保険歯科医は応急処置なんだから
自由診療で治療してもらえ言うてる - 39 : 2025/05/22(木) 21:23:24.94 ID:eIhlxxwXa
-
高校生の頃通ってた禿げた歯科医が一々説教じみたこと言ってくるからうるせぇハゲって言ったら次から違う先生が専属になったわ



コメント